Home Blood Collection is a healthcare service that allows individuals to have their blood samples collected from the comfort of their own homes rather than visiting a medical facility or laboratory.
Anomaly in the context of medical imaging, particularly during pregnancy, usually refers to congenital anomalies or birth defects. Fetal echocardiography, on the other hand, is a specialized type of ultrasound that specifically focuses on imaging the heart of the developing fetus.
Ultrasonography (USG) and Uroflowmetry are diagnostic procedures commonly used in urology to assess and diagnose various conditions related to the urinary system.
Color Doppler services refer to medical imaging procedures that use a technique called color Doppler ultrasound to visualize and assess blood flow within the body.
Digital X-ray, also known as computed radiography (CR) or digital radiography (DR), is an advanced imaging technology that has largely replaced traditional film-based X-ray systems.
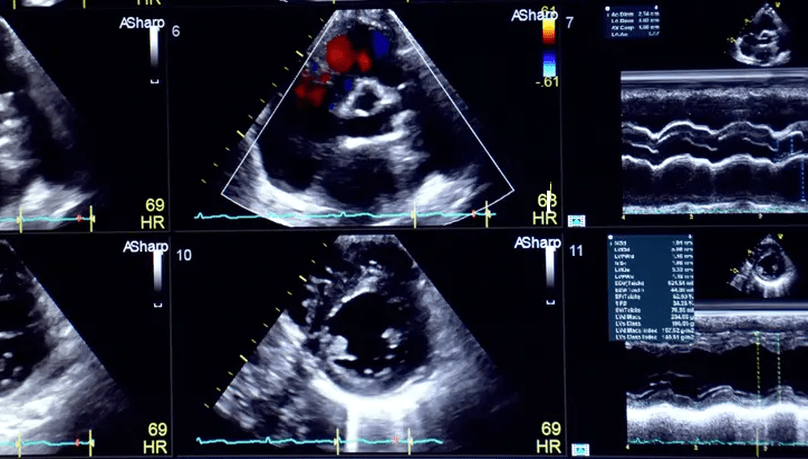
Echocardiography, often referred to as an “echo,” is a medical imaging technique that uses sound waves to create detailed images of the heart.
Sachet Health Care is an institution that is built, staffed, and equipped for the diagnosis of disease.
Monday: 08:00 am – 08.00 pm
Tuesday: 08:00 am – 08.00 pm
Wednesday: 08:00 am – 08.00 pm
Thursday: 08:00 am – 08.00 pm
Friday: 08:00 am – 08.00 pm
Saturday: 08:00 am – 08.00 pm
Sunday: 08:00 am – 08.00 pm